【成人矯正】
2025.10.20
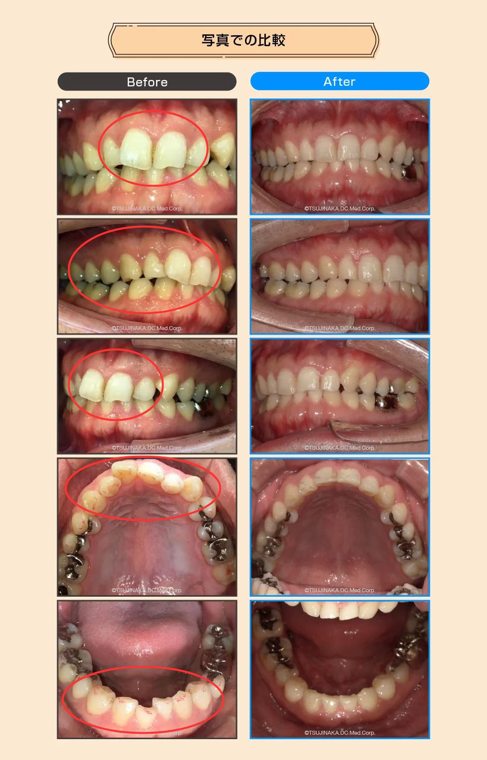
【症例No.1139】 前歯がすり減って小さくなってる
前歯がすり減って小さくなってる
前歯のすり減り(咬耗)と歯並びの乱れが気になるとのことでご相談いただきました。マウスピース型矯正装置を用いた矯正治療により、奥歯のかみ合わせや歯列の状態に配慮しながら、歯並びの改善を目指しました。
| 術名 | 矯正歯科治療(マウスピース型矯正治療) |
| 年齢 | 37歳 |
| 主訴 | 前歯のすり減りと歯並びの乱れが気になる |
| 診断名 | 下顎叢生 |
| 治療内容 | マウスピース型矯正装置(インビザライン)を用いた矯正治療。奥歯の傾斜や咬合関係に配慮しつつ歯列を整えることを目指しました。 |
| 治療装置 | マウスピース型矯正装置(インビザライン) |
| 抜歯部位 | なし |
| 治療期間 | 1年8ヶ月(※個人差あり) |
| 通院回数 | 20回 |
| 費用 | 85万円(税込・自由診療) |
| リスク・副作用など | 痛み・違和感、発音や食事への影響、装着時間不足による計画変更や治療期間延長の可能性、むし歯・歯周病リスク(清掃不良時)、歯肉退縮・ブラックトライアングル、歯根吸収、アタッチメント脱離、後戻りの可能性があります。 |
| ドクターから一言 | 小さい歯が多かったため、歯の移動量や速度に配慮しながら経過を確認して進めました。 |
患者さんからのコメント
装着時間が短い時があって、アライナーが合わない時期がありました。

保定期間について
保定とは矯正治療終了後、動かした歯を安定させる期間のことです。保定期間中も定期的に状態を確認し、後戻りを防ぐための管理を行います。保定装置の種類や使用期間はお口の状態によって異なります。
