2026.03.27
【症例No.7226】 出っ歯をなおしたい
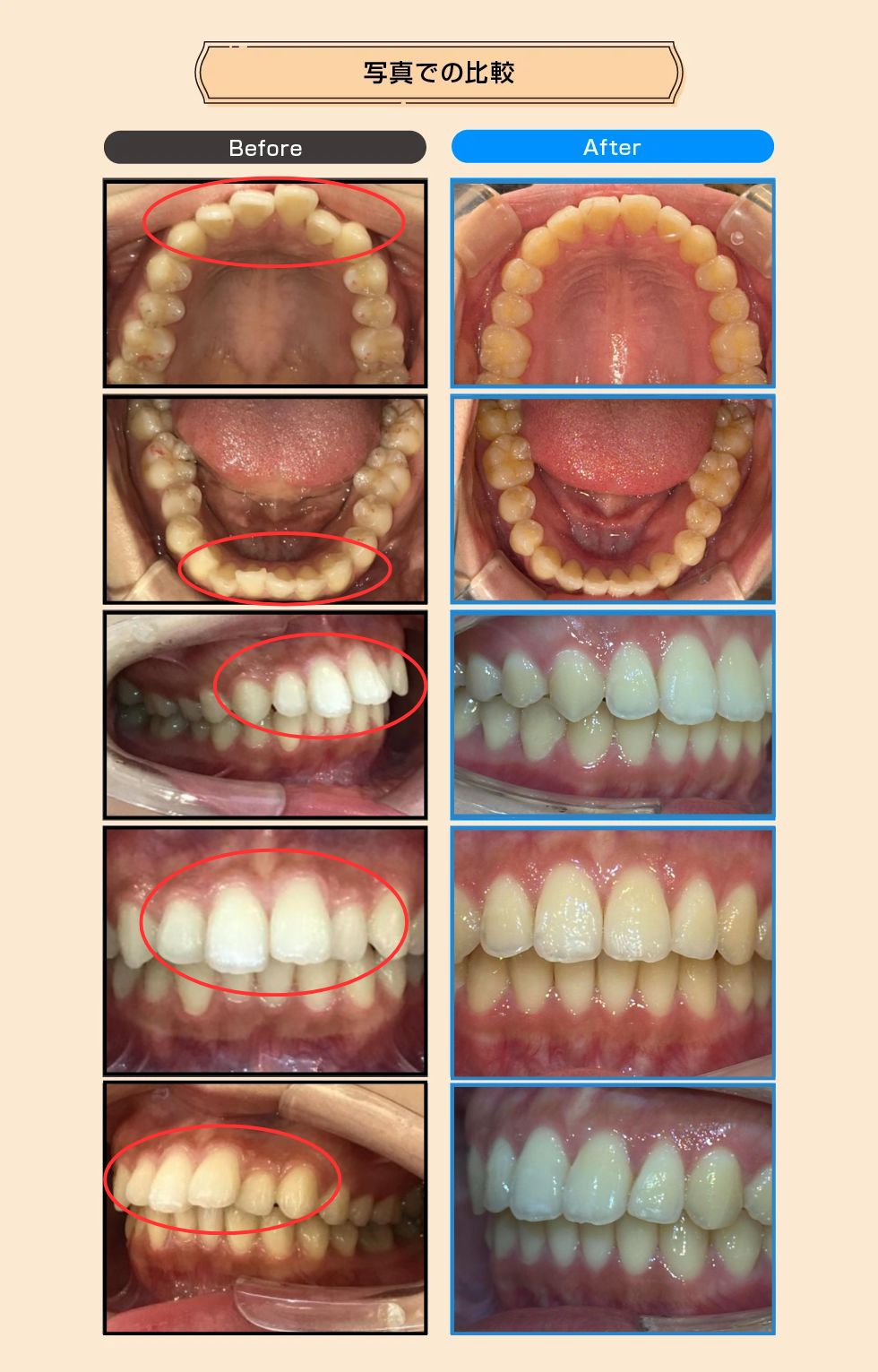
20代女性の患者様で、出っ歯を改善したいとのことでご相談いただきました。ご本人の希望により抜歯部位を最小限に抑えつつ、マウスピース型矯正装置を用いて、遠隔サポートも活用しながら治療を完了した症例です。
| 術名 | 矯正歯科治療(マウスピース型矯正治療) |
| 年齢 | 20代 |
| 主訴 | 出っ歯をなおしたい |
| 診断名 | 上顎前突 |
| 治療内容 | マウスピース型矯正装置(インビザライン)を用いた矯正治療。最小限の抜歯とIPR(歯の間を削る処置)を組み合わせ、必要なスペースを確保して歯列を整えました。 |
| 治療装置 | マウスピース型矯正装置 |
| 抜歯部位 | 左上 8 番目(親知らず) |
| 治療期間 | 3 年 5 か月(途中 8 か月中断)※個人差あり |
| 通院回数 | 27 回 |
| 費用 | 88 万円(税込・自由診療) |
| リスク・副作用など | 歯並びを整えるためには左右の親知らず(8 番)の抜歯が望ましい状態でしたが、ご本人のご希望により左上の親知らずのみ抜歯しました。足りないスペースは、歯と歯の間をわずかに削る処置(IPR)を上下あわせて 16 か所行い、必要なスペースを確保しました。 |
| ドクターから一言 | 治療途中でお仕事の都合により東京へお引っ越しされましたが、遠隔でのサポートも併用しながら、無事に治療を完了することができました。 |
患者さんからのコメント
友達や親から整形級に変わったと言われて嬉しい

保定期間について
保定とは矯正治療終了後、動かした歯を安定させる期間のことです。保定期間中も定期的に状態を確認し、後戻りを防ぐための管理を行います。保定装置の種類や使用期間はお口の状態によって異なります。
