【成人矯正】
2025.10.20
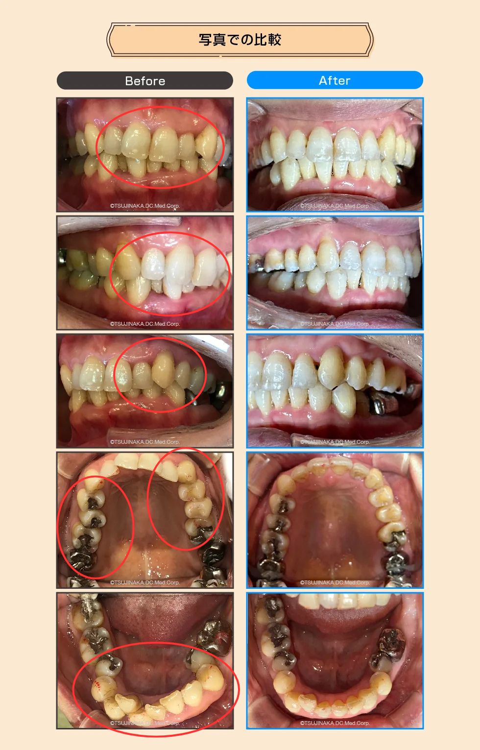
【症例No.5255】前歯の歪みが気になる
間中も定期的に状態を確認し、後戻りを防ぐための管理を行います。
前歯の歪みが気になる
前歯の歪みが気になるとのことでご相談いただきました。慢性的な歯周病があるため、歯周組織の状態に配慮しながら、マウスピース型矯正装置を用いて歯列の改善を目指しました。
| 術名 | 矯正歯科治療(マウスピース型矯正治療) |
| 年齢 | 61歳 |
| 主訴 | 前歯の歪み(ガタつき)が気になる |
| 診断名 | 叢生/歯軸の舌側傾斜 |
| 治療内容 | マウスピース型矯正装置(インビザライン)を用いた矯正治療。歯周組織の状態に配慮しつつ、無理のない範囲で歯の移動を進めました。 |
| 治療装置 | マウスピース型矯正装置(インビザライン) |
| 抜歯部位 | なし |
| 治療期間 | 2年(※個人差あり) |
| 通院回数 | 22回 |
| 費用 | 80万円(税込・自由診療) |
| リスク・副作用など | 痛み・違和感、歯の動揺・知覚過敏、歯肉退縮、歯根吸収、歯周病の進行リスク(炎症コントロール不良時)、むし歯リスク(清掃不良時)、装着時間不足による治療期間延長・計画変更の可能性、後戻りの可能性があります。 |
| ドクターから一言 | 歯周組織の状態を確認しながら、炎症コントロールに配慮して進めました。 |
患者さんからのコメント
コロナなのでマスクをしている間に気付かれぬままに歯の矯正ができるのが良いと思った。また、変化していくたびに日々励みやモチベーションになっている。残りも頑張りたいです。どうぞよろしくお願いします。

保定期間について
保定とは矯正治療終了後、動かした歯を安定させる期間のことです。保定装置の種類や使用期間はお口の状態によって異なります。保定期間中も定期的に状態を確認し、後戻りを防ぐための管理を行います。
