【成人矯正】
2026.04.07
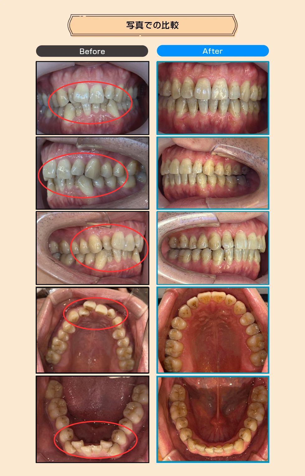
【症例No.1287】 上下のデコボコ(叢生)
上下のデコボコ(叢生)
前歯の歯並びをキレイにしたいとのことでご相談いただきました。マウスピース型矯正装置を用い、抜歯を行わずに歯列を整える計画を立てました。歯並びの改善だけでなく、口元を閉じた時のスッキリ感が出るよう調整し、お顔全体の印象も若々しく(アンチエイジング)変化しています。
| 術名 | 矯正歯科治療(マウスピース型矯正治療) |
| 年齢 | 40代(男性) |
| 主訴 | 前歯の歯並びをキレイにしたい |
| 診断名 | 叢生(上下のデコボコ) |
| 治療内容 | マウスピース型矯正装置を用いた矯正治療。抜歯は行わず、IPR(歯と歯の間のエナメル質をわずかに削る処置)を11カ所施すことで、歯を並べるためのスペースを確保しました。 |
| 治療装置 | マウスピース型矯正装置 |
| 抜歯部位 | なし(IPRにて対応) |
| 治療期間 | 1年7ヶ月(※個人差あり) |
| 通院回数 | 13回 |
| 費用 | 80万円(税込・自由診療) |
| リスク・副作用など | 痛み・違和感、発音や食事への影響、装着時間不足による計画変更や治療期間延長の可能性、むし歯・歯周病リスク(清掃不良時)、歯肉退縮・ブラックトライアングル、歯根吸収、アタッチメント脱離、後戻りの可能性があります。 |
| ドクターから一言 | 抜歯をせずにIPR(11カ所)を適切に行うことで、健康な歯を残したまま美しい歯列を実現しました。口元のシルエットもスッキリと改善されています。 |

保定期間について
保定とは矯正治療終了後、動かした歯を安定させる期間のことです。保定期間中も定期的に状態を確認し、後戻りを防ぐための管理を行います。保定装置の種類や使用期間はお口の状態によって異なります。
