【成人矯正】
2026.04.23
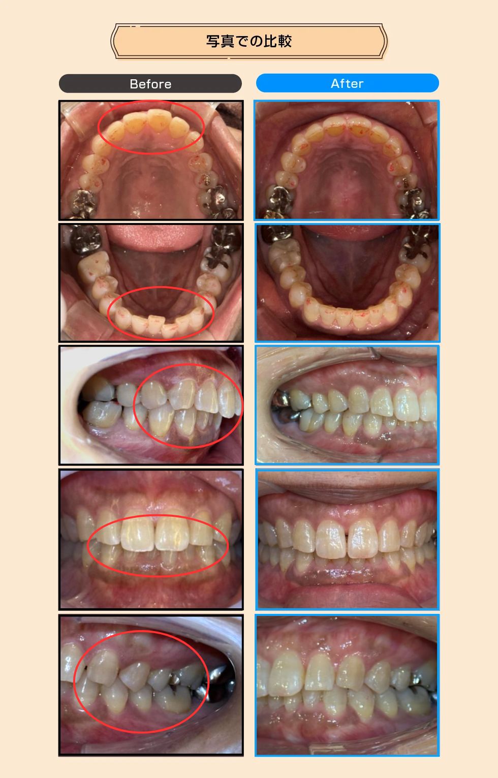
【症例No.8988】下の前歯のガタガタをなおしたい
下の前歯のガタガタをなおしたい
下顎左右の親知らずが手前の歯を圧迫していたことにより、下顎前歯に歯列不正が生じていた症例です。左右の親知らずの抜歯を行い、さらに臼歯の遠心移動およびIPRを併用することで、前歯を並べるためのスペースを確保し、追加の抜歯を行わずに改善を目指しました。
| 術名 | 矯正歯科治療(マウスピース型矯正治療) |
| 年齢 | 50代(女性) |
| 主訴 | 下の前歯のガタガタをなおしたい |
| 診断名 | 下顎叢生 |
| 治療内容 | 左右の親知らずの抜歯後、マウスピース型矯正装置(インビザライン)を用いて臼歯の遠心移動およびIPRを行い、歯列を整えました。 |
| 治療装置 | マウスピース型矯正装置(インビザライン) |
| 抜歯部位 | 左右の親知らず |
| IPR | 7ヵ所 |
| 治療期間 | 1年2か月(※個人差あり) |
| 通院回数 | 8回 |
| 費用 | 88万円(税込・自由診療) |
| リスク・副作用など | 痛み・違和感、発音や食事への影響、装着時間不足による計画変更や治療期間延長の可能性、むし歯・歯周病リスク(清掃不良時)、歯肉退縮・ブラックトライアングル、歯根吸収、アタッチメント脱離、後戻りの可能性があります。 |
| ドクターから一言 | 親知らずの圧迫が原因で前歯にガタつきが生じていたため、まずは親知らずを抜歯し、奥歯を後ろへ移動させることで、非抜歯でのスペース確保を優先しました。 |

保定期間について
保定とは矯正治療終了後、動かした歯を安定させる期間のことです。保定期間中も定期的に状態を確認し、後戻りを防ぐための管理を行います。保定装置の種類や使用期間はお口の状態によって異なります。
