【小児矯正】
2025.10.20
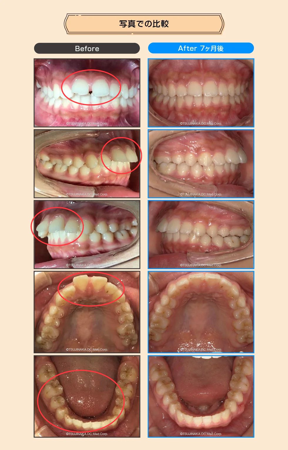
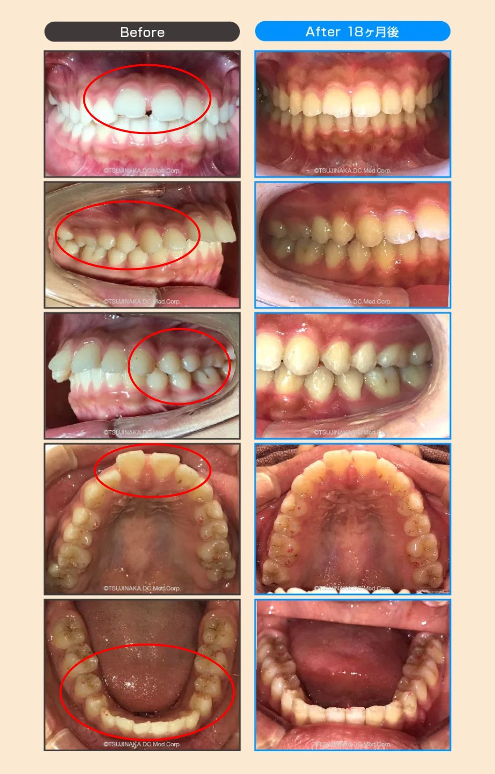
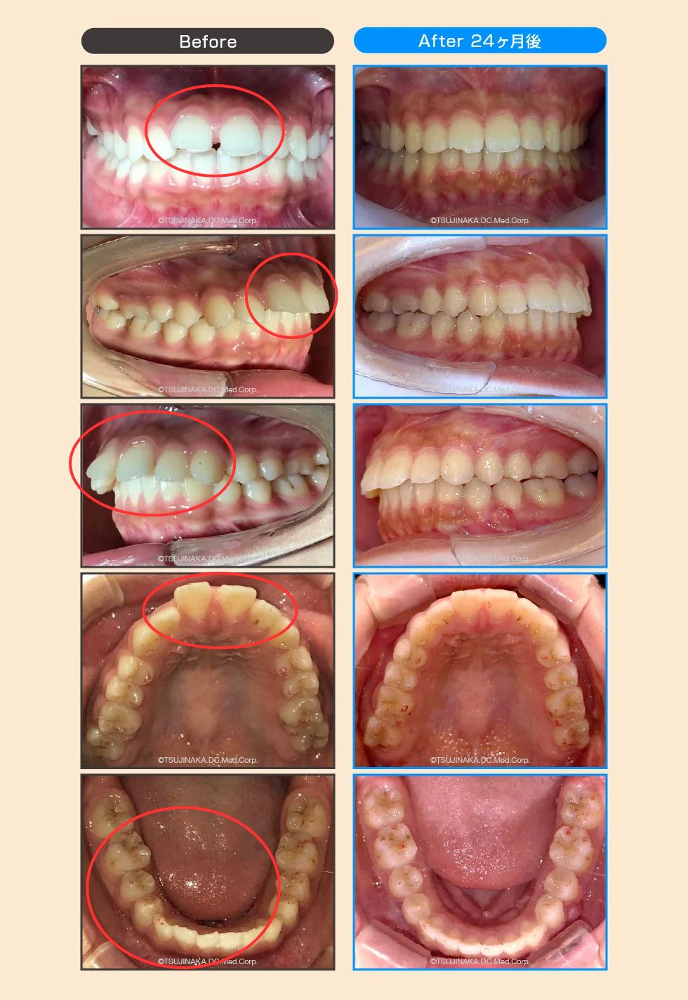
【症例No.7345】小学校の頃から歯が前に出ているのとすきっ歯が気になっていた
小学校の頃から歯が前に出ているのとすきっ歯が気になっていた
前歯のすき間や前歯が出ていることが気になるとのことでご相談いただきました。マウスピース型矯正装置を用いた矯正治療を行い、必要に応じて顎間ゴム(ゴム掛け)を併用しながら、歯列・咬合関係の改善を目指しました。
| 術名 | 矯正歯科治療(マウスピース型矯正治療) |
| 年齢 | 14歳 |
| 主訴 | 前歯のすき間(すきっ歯)と前歯が出ていることが気になる |
| 診断名 | 歯間離開(正中離開)/上顎前突/下顎叢生 |
| 治療内容 | マウスピース型矯正装置(インビザライン)を用いた矯正治療。必要に応じて顎間ゴム(ゴム掛け)を併用しました。 |
| 治療装置 | マウスピース型矯正装置(インビザライン) |
| 抜歯部位 | なし |
| 治療期間 | 2年(※個人差あり) |
| 通院回数 | 14回 |
| 費用 | 80万円(税込・自由診療) |
| リスク・副作用など | 痛み・違和感、発音や食事への影響、装着時間不足による計画変更や治療期間延長の可能性、むし歯・歯周病リスク(清掃不良時)、歯肉退縮・ブラックトライアングル、歯根吸収、後戻りの可能性があります。顎間ゴム使用に伴う顎関節や筋肉の違和感が出る場合があります。 |
| ドクターから一言 | 顎間ゴムの併用を含め、経過を確認しながら進めました。 |
患者さんからのコメント
見た目が気にならない。ワイヤーが切れたりすることがない。取り外しができてご飯を食べる時とか気にしなくていい。歯磨きも楽。



保定期間について
保定とは矯正治療終了後、動かした歯を安定させる期間のことです。保定装置の種類や使用期間はお口の状態によって異なります。保定期間中も定期的に状態を確認し、後戻りを防ぐための管理を行います。
