【成人矯正】
2025.10.20
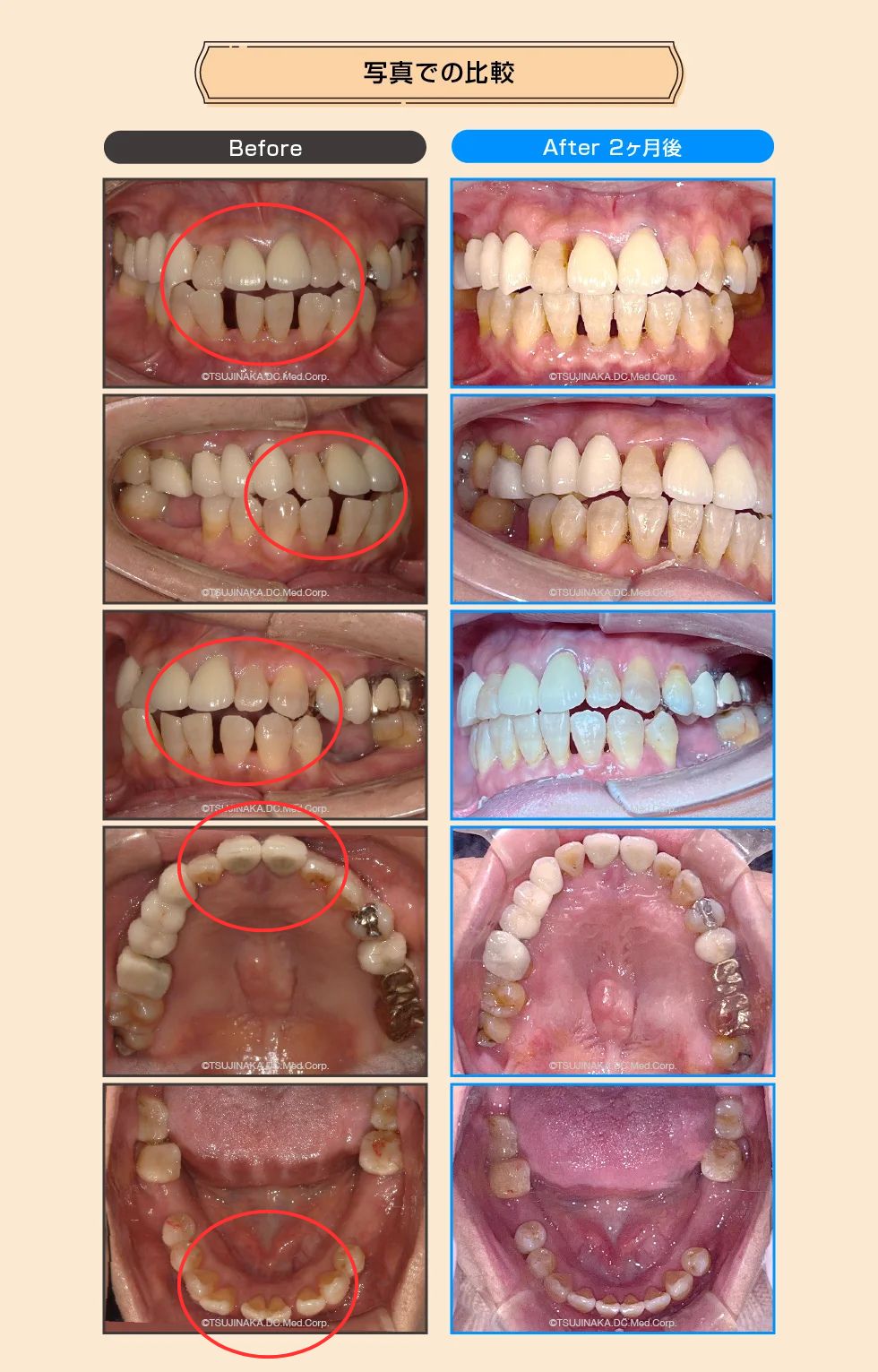
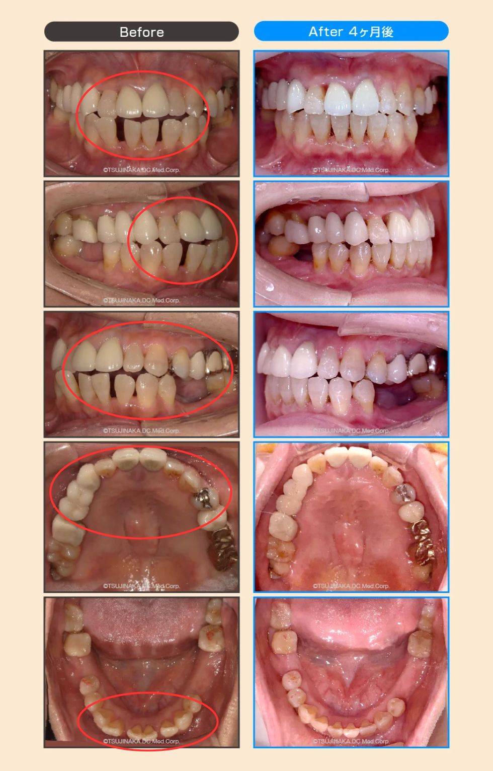
【症例No.7490】食事中に物が噛みきれないのを治したい
食事中に物が噛みきれないのを治したい
前歯で噛みにくく、食事中に噛みきれないことが気になるとのことでご相談いただきました。マウスピース型矯正装置を用いた矯正治療により、歯周組織の状態にも配慮しながら、咬合関係と歯列の改善を目指しました。
| 術名 | 矯正歯科治療(マウスピース型矯正治療) |
| 年齢 | 59歳 |
| 主訴 | 前歯で噛みにくく、食事中に噛みきれないことが気になる |
| 診断名 | 歯間離開/反対咬合/開咬(前歯部開咬) |
| 治療内容 | マウスピース型矯正装置(インビザライン)を用いた矯正治療。歯周病の状態に配慮しながら、咬合関係の調整と歯列の改善を目指しました(補綴歯・欠損歯があるため固定源の選択に配慮)。 |
| 治療装置 | マウスピース型矯正装置(インビザライン) |
| 抜歯部位 | なし |
| 治療期間 | 1年6ヶ月(※個人差あり) |
| 通院回数 | 8回 |
| 費用 | 75万円(税込・自由診療) |
| リスク・副作用など | 痛み・違和感、装着時間不足による計画変更や治療期間延長の可能性、歯周病の進行リスク(炎症コントロール不良時)、歯の動揺、歯根吸収、歯肉退縮、むし歯リスク(清掃不良時)、補綴物のトラブル、後戻りの可能性があります。 |
| ドクターから一言 | 歯周組織や補綴物の状態に配慮しながら、固定源の選択や歯の動かし方を検討して進めました。 |
患者さんからのコメント
年齢も年齢なのでインビザラインをするか悩みましたが始めて良かったなと思っております。矯正をして話しやすくなったり食事も食べやすくなりました。また、気にせずに話せたり笑えるようにもなり、気持ちも色々とだいぶ楽になりました。


保定期間について
保定とは矯正治療終了後、動かした歯を安定させる期間のことです。保定装置の種類や使用期間はお口の状態によって異なります。保定期間中も定期的に状態を確認し、後戻りを防ぐための管理を行います。
