【成人矯正】
2025.10.20
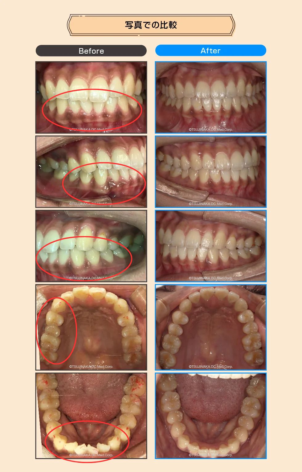
【症例No.7197】噛み合わせが強いせいで骨が隆起している
噛み合わせが強いせいで骨が隆起している
歯並びのデコボコや噛み合わせの違和感が気になるとのことでご相談いただきました。マウスピース型矯正装置を用いた矯正治療により、歯列の改善を目指し、歯の移動に伴う歯肉の変化にも配慮しながら進めました。
| 術名 | 矯正歯科治療(マウスピース型矯正治療) |
| 年齢 | 34歳 |
| 主訴 | 歯並びのガタつきと噛み合わせの違和感が気になる(骨のふくらみが心配) |
| 診断名 | 下顎叢生 |
| 治療内容 | マウスピース型矯正装置(インビザライン)を用いた矯正治療。歯列の改善を目指し、歯肉退縮などのリスクに配慮しながら経過を確認して進めました。 |
| 治療装置 | マウスピース型矯正装置(インビザライン) |
| 抜歯部位 | なし |
| 治療期間 | 1年6ヶ月(※個人差あり) |
| 通院回数 | 16回 |
| 費用 | 85万円(税込・自由診療) |
| リスク・副作用など | 痛み・違和感、歯肉退縮・ブラックトライアングル、歯根吸収、むし歯・歯周病リスク(清掃不良時)、装着時間不足による治療期間延長・計画変更の可能性、後戻りの可能性があります。 |
| ドクターから一言 | 歯肉退縮などのリスクに配慮し、経過を確認しながら進めました。 |
患者さんからのコメント
辻中歯科医院で歯並びを指摘されて歯並びが気になった。これ以上骨隆起が大きくなるのは嫌。今後の健康のために頑張りたい。

保定期間について
保定とは矯正治療終了後、動かした歯を安定させる期間のことです。保定装置の種類や使用期間はお口の状態によって異なります。保定期間中も定期的に状態を確認し、後戻りを防ぐための管理を行います。
