【成人矯正】
2025.10.20
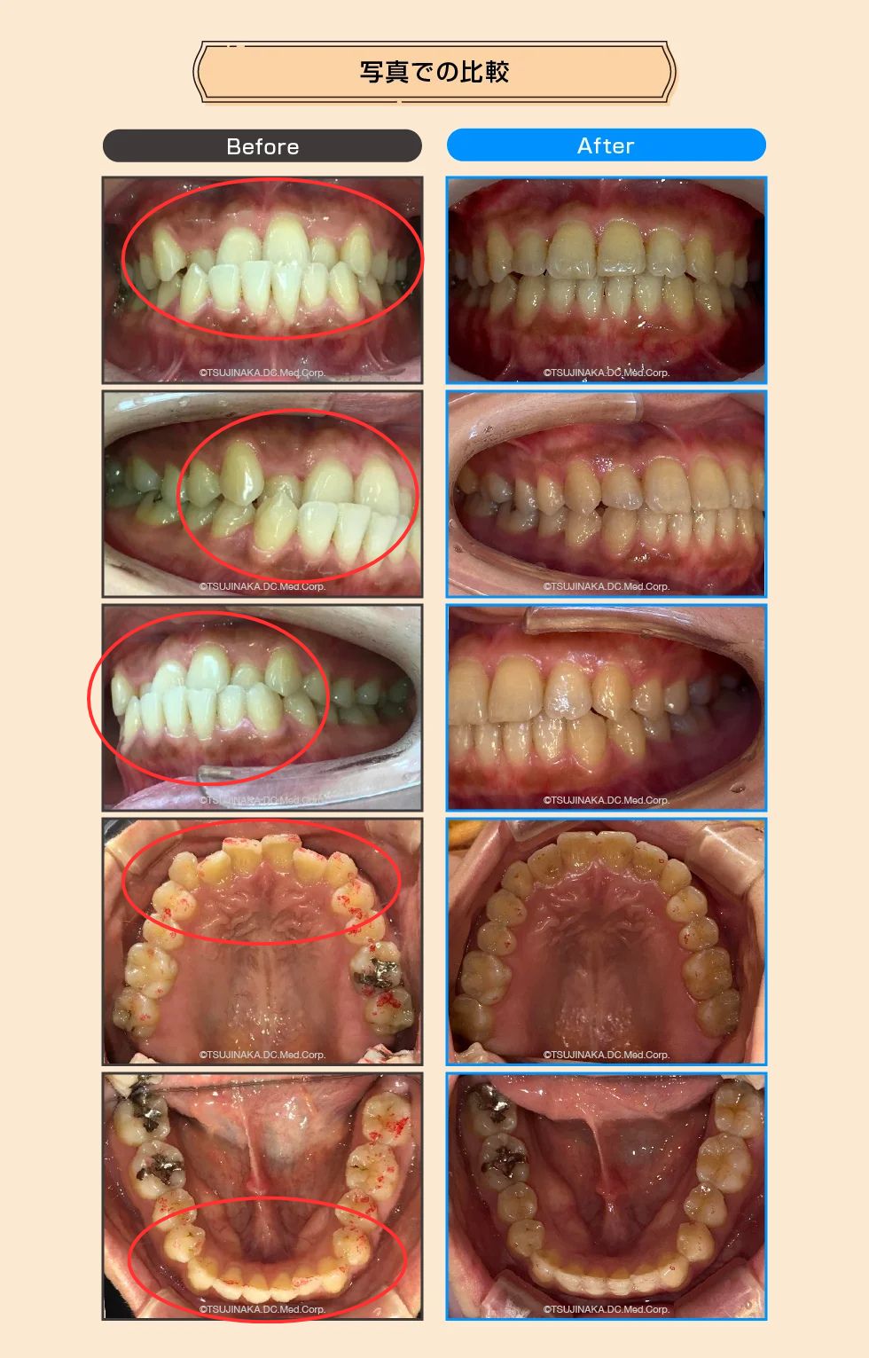
【症例No.5437】歯の不揃いを直したい
歯の不揃いを直したい
歯並びの不揃い(受け口・前歯のデコボコ)が気になるとのことでご相談いただきました。マウスピース型矯正装置を用いた矯正治療により、反対咬合の改善を目指し、必要に応じて顎間ゴムの併用やIPR(歯の隣接面をわずかに削合)を行いました。
| 術名 | 矯正歯科治療(マウスピース型矯正治療) |
| 年齢 | 39歳 |
| 主訴 | 歯並びの不揃い(受け口・前歯のデコボコ)が気になる |
| 診断名 | 反対咬合/叢生 |
| 治療内容 | マウスピース型矯正装置(インビザライン)を用いた矯正治療。反対咬合の改善を目指し、必要に応じて顎間ゴムを併用。歯列スペース確保のためIPRを実施しました。 |
| 治療装置 | マウスピース型矯正装置(インビザライン) |
| 抜歯部位 | なし |
| 治療期間 | 1年6ヶ月(※個人差あり) |
| 通院回数 | 14回 |
| 費用 | 85万円(税込・自由診療) |
| リスク・副作用など | 痛み・違和感、IPRに伴う一時的な知覚過敏、顎間ゴム使用に伴う顎関節や筋肉の違和感、歯肉退縮・ブラックトライアングル、歯根吸収、むし歯・歯周病リスク(清掃不良時)、装着時間不足による治療期間延長・計画変更の可能性、後戻りの可能性があります。 |
| ドクターから一言 | 反対咬合の改善を目指し、IPRや顎間ゴムの併用を含めて計画し、顎関節の状態にも配慮して経過観察しました。 |
患者さんからのコメント
始めようと思ったきっかけは、歯が不揃いだしマスクを必ず着用しないといけない時期になり、今のタイミングで始めようと思いました。 また、インビザラインは透明で目立たないのでそれも選択した理由です。 矯正を始めてからは自分の歯が少しずつ正しい位置に動いていくのが驚きでした。

保定期間について
保定とは矯正治療終了後、動かした歯を安定させる期間のことです。保定装置の種類や使用期間はお口の状態によって異なります。保定期間中も定期的に状態を確認し、後戻りを防ぐための管理を行います。
