【成人矯正】
2025.10.20
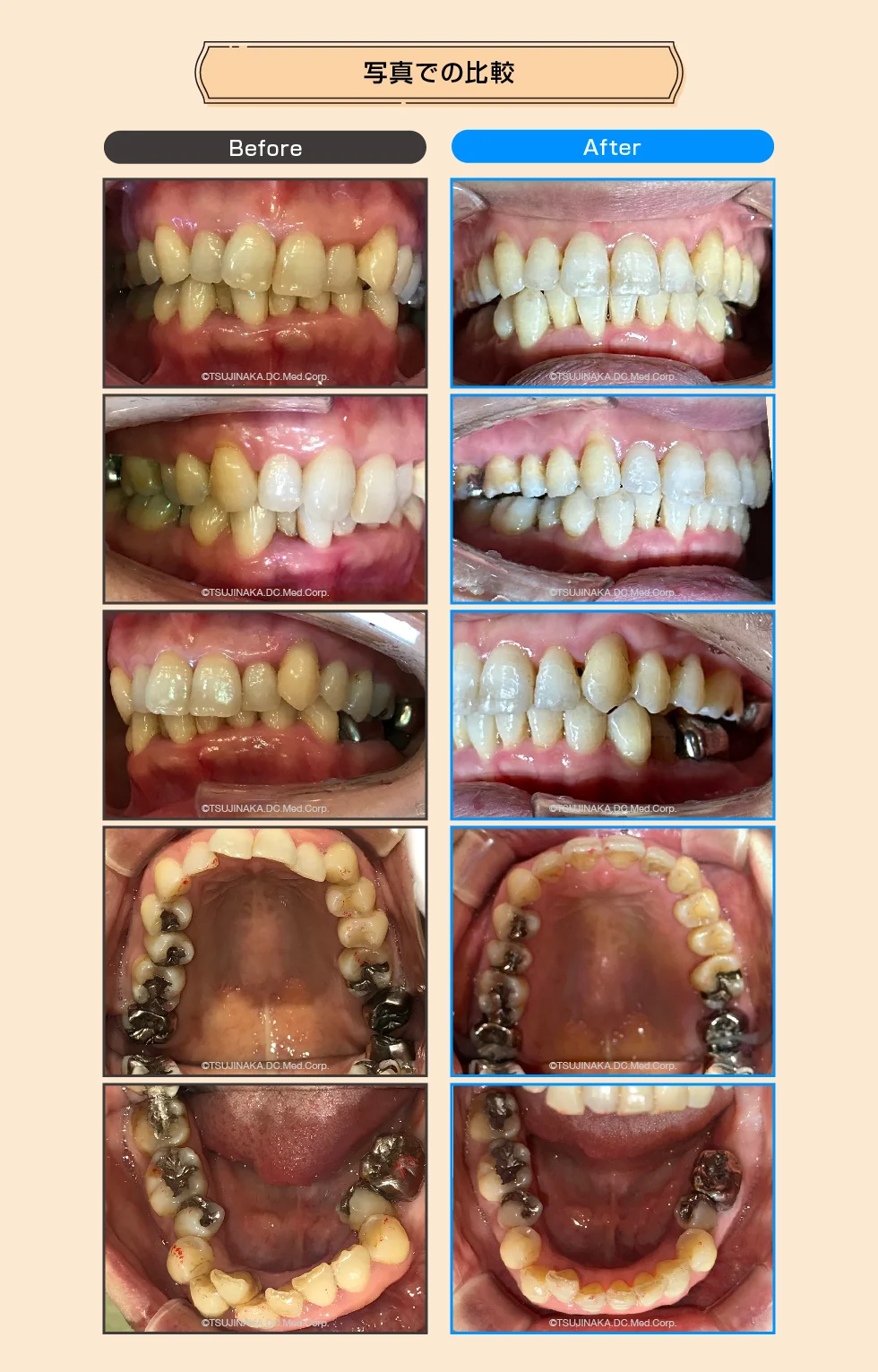
【症例No.5255】前歯の歪みが気になる
前歯の歪みが気になる
この患者さんは61歳で慢性的な歯周病があった為、矯正力で歯がグラグラにならないか?グラグラになる事で冷たいモノがしみたり痛みが出てこないか注意しながら矯正を行いました。
| 年齢 | 61歳 |
| 主な症状 | 1.(上下前歯部ガタガタ)叢生歯列 2.(奥歯が中に倒れている)歯軸舌側傾斜 |
| 治療装置 | マウスピース型矯正装置(インビザライン) |
| 抜歯部位 | なし |
| 治療期間・回数 | 2年、22回 |
| 治療費概算 | 80万円(税込) |
| リスク・副作用など | 1.矯正スタート時61歳 2.慢性歯周病 |
| ドクターから一言 | 歯周病に罹患されていたので患者さんと相談しながら、炎症をコントロールしながりゆっくり歯を動かしていった |
患者さんからのコメント
コロナなのでマスクをしている間に気付かれぬままに歯の矯正ができるのが良いと思った。また、変化していくたびに日々励みやモチベーションになっている。残りも頑張りたいです。どうぞよろしくお願いします。
医院からのコメント
【BEFORE】治療前のiTeroによる3Dスキャン画像です。
【AFTER】iTeroを使って作成した治療計画の3D画像です。
下にある治療前の歯並びを写真撮影したものと見比べてみてください。iTeroでかなり厳密に3Dスキャンできていることがお分かりいただけると思います。


保定期間について
保定とは矯正治療終了後、矯正で動かした歯を元に戻らないよう定着させる期間のことです。辻中歯科医院では、保定期間に入られた患者さまには、基本的にマウスピースタイプの保定装置を装着していただきます。 保定に要する時間は矯正治療にかかった時間プラス半年程度とお考え下さい。
