【成人矯正】
2025.10.20
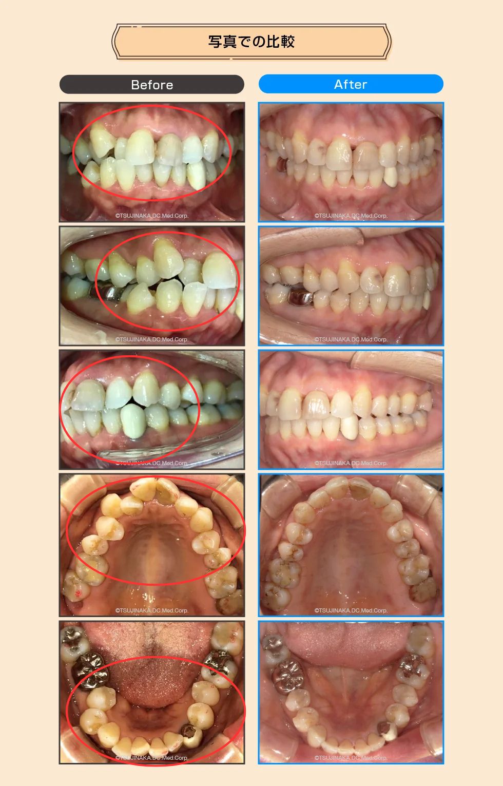
【症例No.5010】 コンプレックスだった前歯の歯並びを治したい
コンプレックスだった前歯の歯並びを治したい
前歯の歯並びが気になるとのことでご相談いただきました。歯周組織や補綴物(かぶせ物・詰め物)の状態に配慮しながら、マウスピース型矯正装置を用いて歯列の改善を目指しました。
| 術名 | 矯正歯科治療(マウスピース型矯正治療) |
| 年齢 | 56歳 |
| 主訴 | 前歯の歯並びを改善したい |
| 診断名 | 上顎叢生 |
| 治療内容 | マウスピース型矯正装置(インビザライン)を用いた矯正治療。歯周組織の状態に配慮しながら、歯の移動量や速度を調整し、経過を確認しつつ治療を進めました。 |
| 治療装置 | マウスピース型矯正装置(インビザライン) |
| 抜歯部位 | なし |
| 治療期間 | 1年4ヶ月(※個人差あり) |
| 通院回数 | 19回 |
| 費用 | 85万円(税込・自由診療) |
| リスク・副作用など | 痛み・違和感、装着時間不足による計画変更や治療期間延長の可能性、歯の動揺・知覚過敏、歯肉退縮、歯根吸収、むし歯・歯周病リスク(清掃不良時)、補綴物のトラブル、後戻りの可能性があります。 |
| ドクターから一言 | 歯周組織の状態に配慮し、経過を確認しながら進めました。 |
患者さんからのコメント
途中右下が滲みる時があった。

保定期間について
保定とは矯正治療終了後、動かした歯を安定させる期間のことです。保定装置の種類や使用期間はお口の状態によって異なります。保定期間中も定期的に状態を確認し、後戻りを防ぐための管理を行います。
