【成人矯正】
2025.10.20
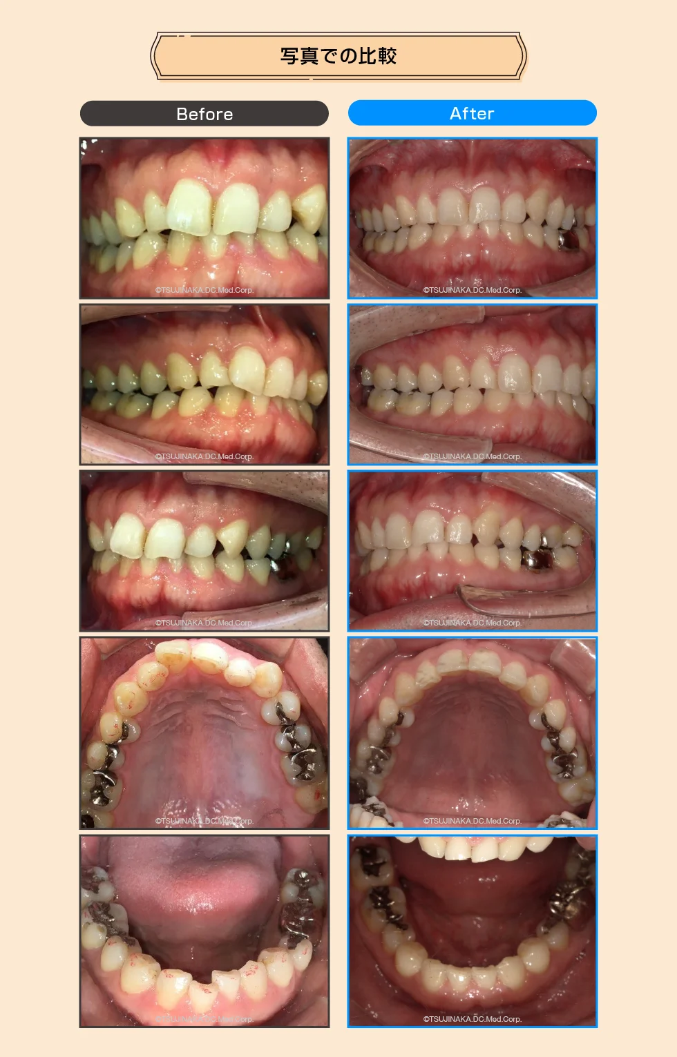
【症例No.1139】 前歯がすり減って小さくなってる
前歯がすり減って小さくなってる
この患者さんは前歯での咬耗が激しく歯がすり減って小さくなっておられました。原因は奥歯の圧下や舌側傾斜、歯ぎしりが考えられます。まず奥歯の傾斜を治し圧下された奥歯を挙上することで前歯への負担を無くし、前歯がすり減らないようにし、叢生も改善しました。アフターの写真では、歯並びだけでなく下の奥歯が直立しているのが確認できます。
| 年齢 | 37歳 |
| 主な症状 | 下顎叢生 |
| 治療装置 | マウスピース型矯正装置(インビザライン) |
| 抜歯部位 | なし |
| 治療期間・回数 | 1年8ヶ月、20回 |
| 治療費概算 | 85万円(税込) |
| リスク・副作用など | ブラックトライアングル |
| ドクターから一言 | 小さい歯が多かったので歯を動かすのにゆっくり慎重に動かした |
患者さんからのコメント
装着時間が短い時があって、アライナーが合わない時期がありました。
医院からのコメント
【BEFORE】治療前のiTeroによる3Dスキャン画像です。
【AFTER】iTeroを使って作成した治療計画の3D画像です。
下にある治療前の歯並び写真と比較してみてください。iTeroで非常に精密にスキャンできていることが分かります。


保定期間について
保定とは矯正治療終了後、動かした歯を安定させる期間のことです。辻中歯科医院では、保定期間に入られた患者さまに対しても定期的なチェックを行い、後戻りを防ぎながら健康な噛み合わせを維持できるようサポートしています。
