2025.04.11
子どもの虫歯の特徴と治療する方法!治療を受けられる年齢や予防法も
こんにちは。大阪府摂津市「JR千里丘駅」より徒歩1分にある歯医者「辻中歯科医院」です。
「子どもの虫歯が気になる」「そろそろ歯医者へ行ったほうがいいの?」と悩んでいる保護者の方も多いのではないでしょうか。子どもの歯は大人よりも歯質が弱いため、虫歯になりやすいという特徴があります。
今回は、子どもの虫歯の特徴や治療方法、予防法などについて解説します。お子さまの虫歯治療や予防について詳しく知りたい方は、ぜひ参考にしてみてください。
子どもの虫歯の特徴

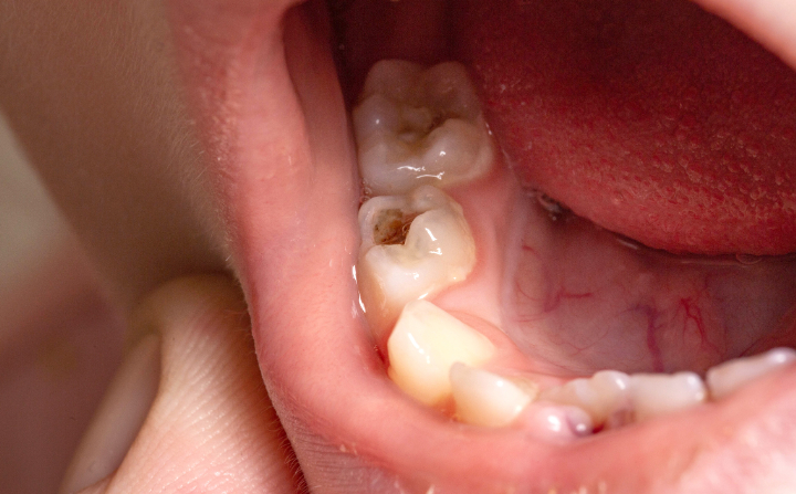
子どもは、大人に比べて虫歯になりやすいといわれています。乳歯や生えたばかりの永久歯は、一度虫歯になると進行するのが早いため重症化しやすいという特徴があります。
特に虫歯ができやすい場所としては、上顎の前歯と前歯の間や奥歯同士の間、奥歯の溝、歯と歯ぐきの境目などが挙げられます。また、乳歯にできる虫歯は黒ではなく、白いことが多いのも特徴のひとつです。
そのため、虫歯ができていても気付かずに放置するケースが少なくありません。
子どもが虫歯になりやすい理由
子どもが虫歯になりやすい理由は、以下の通りです。
歯質が弱い
子どもの歯は石灰化が進んでいないため歯質が弱く、柔らかいという特徴があります。また、歯の表面のエナメル質も薄いため、虫歯ができやすいだけでなく進行が早いです。
磨き残しが多い
幼い子どもは、ブラッシングが不十分になりやすいです。毎日歯磨きをしているつもりでも、磨き残しが多ければ虫歯のリスクは高まります。子ども自身が自分で歯を磨く習慣を身につけることは大切ですが、幼いうちは保護者の方が丁寧に仕上げ磨きをしてあげましょう。
特に、就寝前の歯磨きだけでも、保護者の方が磨き残しやすい箇所をフォローしてあげると虫歯予防に役立ちます。なお、仕上げ磨きは小学3年生頃まで行うことが望ましいでしょう。
だらだら食べやだらだら飲みが多い
だらだら食べやだらだら飲みは、虫歯のリスクを高めます。幼い子どもは一度に食べられる量が少ないため、間食の回数が多くなることもあるでしょう。
しかし、虫歯菌のエサとなる糖分が口の中に長く留まるほど、お口の中が酸性に傾く時間も長くなり、エナメル質が溶かされやすい状態になります。
子どもの虫歯を治療する方法

子どもに虫歯が見つかった場合には、どのような治療が行われるのでしょうか。ここでは、子どもの虫歯を治療する方法をご紹介します。
フッ素塗布
初期の虫歯、特にエナメル質のみに影響がある場合、フッ素塗布で改善できる可能性があります。フッ素は、歯のエナメル質を強化し、虫歯の進行を抑える効果があります。また、家庭でもフッ素入りの歯磨き粉を使うことが推奨されます。
クリーニングとブラッシング指導
虫歯の進行を抑えるために、口内の汚れを除去するクリーニングを実施することも多いです。クリーニングとフッ素塗布により、口内の汚れを徹底的に除去して歯の再石灰化を促せば、ごく軽度の虫歯であれば治療できることがあります。
また、虫歯の改善・予防には自宅での歯磨きも欠かせません。そのため、ブラッシング指導も同時に行うことが多いです。
削って詰め物をする
虫歯が進行している場合、虫歯部分を削って詰め物をすることが一般的な治療方法です。削る範囲は、虫歯の進行具合に応じて決まります。
お子さまの年齢によっては歯を削るのが困難なケースもあるため、フッ素塗布やクリーニングで経過を観察し、必要に応じて選択することが多いです。
根管治療
虫歯が神経まで進行してしまうと、根管治療が必要になることがあります。根管治療は、歯の内部にある神経を取り除き、歯の中を清掃してから薬剤を詰める治療法です。
虫歯が非常に進行している場合に行われ、痛みを和らげるためにも必要な処置です。
抜歯
最も進行した虫歯の場合、抜歯が必要になることもあります。特に、乳歯の場合は永久歯への生え変わりが起こるため、時期によっては周りの歯への影響を抑えるために抜歯を選択することがあります。
抜歯後は、必要に応じて部分的な義歯やスペースを確保するための治療が行われることがあります。
子どもの虫歯治療は何歳から?

生後6ヵ月頃になると乳歯が生え始めますが、口の中に虫歯菌が存在すれば、その頃からでも虫歯のリスクは発生します。通常、生まれたばかりの赤ちゃんの口の中には虫歯菌は存在しません。
虫歯菌の主な感染原は、両親や祖父母などの身近な大人です。日々コミュニケーションを取る中で、唾液を介して虫歯菌が感染します。
なお、口の中に存在する虫歯菌の割合は2~3歳の間に決まるといわれており、この時期に虫歯菌の感染を予防できれば、将来的にも虫歯になりにくくできます。
子どもの虫歯を予防する方法

ここからは、子どもの虫歯を予防する方法について解説します。
糖分を多く含む食べ物や飲み物を控える
糖分は虫歯菌のエサとなるため、糖分を多く含む食べ物や飲み物を控えることが大切です。成長期の子どもなので、過度な食事制限をする必要はありません。
アメやチョコレート、ケーキ、甘いジュースなどを頻繁に食べたり飲んだりすることは控えたほうがよいでしょう。
仕上げ磨きを行う
年齢が低ければ低いほど、自分で上手にブラッシングするのは難しくなります。そのため、保護者の方が仕上げ磨きを行うことが大切です。
特に、奥歯の溝や歯と歯ぐきの境目、歯と歯の間などは磨き残しやすいため丁寧に磨いてあげましょう。このとき、歯ブラシだけでなく、タフトブラシやデンタルフロス、歯間ブラシなどを活用してください。
小学生頃には自分でブラッシングをするお子さまも多くなりますが、できれば小学3年生頃までは保護者の方が仕上げ磨きをしてあげてください。
決まった時間に間食をとる
間食の回数が多く、だらだらと食べることが多い場合、虫歯のリスクが高くなります。小さなお子さまは補食が必要なこともありますが、できるだけ時間を決めて間食の時間を延ばさないようにしましょう。
また、間食をした後は、歯磨きをすることも心がけてください。歯磨きが難しい場合には、水で口をゆすぐだけでも虫歯予防に役立ちます。
定期的に歯科検診を受ける
定期的に歯科検診を受けることは、虫歯を予防する上でとても重要です。定期検診では、虫歯のチェックはもちろん、普段の歯磨きでは取り除くことができない細かい部分の歯垢や歯石などを取り除けます。
また、ブラッシング指導も受けられるため、お子さまの歯並びに合った適切な歯磨きの方法を知ることができるでしょう。
なお、毎日のブラッシングを丁寧に行っていても虫歯ができることはあります。定期的にチェックを受けていれば、万が一虫歯ができても早期発見・早期治療につながるでしょう。
フッ素を塗布する
子どもの虫歯を防ぐ方法のひとつとして、フッ素塗布受けることも挙げられます。市販の歯磨き粉や洗口液などにもフッ素を配合したものはありますが、歯科医院ではより高濃度のフッ素を塗布することができます。
フッ素には歯質の強化や虫歯菌の活動を抑制する働きがありますので、虫歯予防に効果的です。
シーラント
シーラントとは、虫歯になりやすい奥歯の溝に歯科用樹脂で埋め、虫歯菌の侵入を予防する処置のことです。乳歯の奥歯や生えたばかりの6歳臼歯などに行います。
痛みが伴うような処置ではありませんので、お子さまへの負担も少ないです。
唾液検査
唾液検査では、唾液の量やお口の中に存在する虫歯菌の量、歯垢の状態などを知ることができます。これらを把握すれば、虫歯のなりやすさを評価することが可能です。
検査の結果をもとに、虫歯を予防するための食生活やセルフケアについてのアドバイスが受けられます。
まとめ

子どもの歯は大人の歯に比べて歯質が柔らかく、エナメル質が薄いため虫歯になりやすいといわれています。また、進行するスピードも早く、重症化しやすいため注意が必要です。重症化によるお子さまへの負担を軽減するためにも、予防や早期発見・早期治療を心がけましょう。
歯科医院でできる予防法としては、定期検診やフッ素塗布、シーラントなどが挙げられます。定期検診ではブラッシング指導も受けられますので、お子さまのお口の状態に合った適切な歯磨きの方法を身につけることが可能です。
なお、お子さまのお口の健康を保つためには、保護者の方のサポートが必要不可欠です。正しい予防方法やケアの方法を親子で実践し、健康な歯を維持していきましょう。
お子さまの虫歯治療を検討されている方は、大阪府摂津市「JR千里丘駅」より徒歩1分にある歯医者「辻中歯科医院」にお気軽にご相談ください。
当院では、むし歯・歯周病治療や小児歯科、マウスピース矯正など、さまざまな診療を行っています。診療メニューはこちら、仮予約も受付しておりますので、ぜひご活用ください。
